e-junior.net
Buscar:
usuario
¿has olvidado la contraseña?
contraseña
¿Quieres ver los contenidos completos?
REGÍSTRATE GRATIS
nivel
Tejido biológico
Un tejido biológico es un conjunto de células diferenciadas del resto de las células del cuerpo, que se agrupan para realizar la misma función.
no hay página anterior
1/1
no hay página siguiente

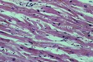
Músculo cardíaco visto al microscopio.
Músculo cardíaco visto al microscopio.
Pulsa para ampliarPulsa para ampliarPulsa para ampliar
Pulsa para ampliar
Descripción
En los organismos pluricelulares
Los que están formados por muchas células.
las células se diferencian y se especializan en diferentes funciones.
La agrupación de varias células que realizan la misma función forma un tejido. Por ejemplo, el tejido muscular está formado por un tipo especial de células, llamadas fibras muscular ...
¿Quieres acceder a todos los contenidos?
Si ya estás registrado, introduce tus datos de acceso:
usuario
¿has olvidado la contraseña?
contraseña

¿Todavía no te has registrado? ¡Hazlo gratis!
Te llevará sólo unos segundos.


no hay página anterior
1/1
no hay página siguiente
Documentos relacionados
,